Mondhygiëne
Het goed onderhouden en verzorgen van je gebit en tandvlees is heel belangrijk. De tandplaque (dit is een slijmlaagje op je tanden waarin zich bacteriën nestelen) dient altijd na elke maaltijd verwijderd te worden d.m.v. tandenpoetsen. De tandplaque zit vol bacteriën die schade kunnen toebrengen aan het tandglazuur en tandvlees. Bij het glazuur begint het met het ontkalkingen en vervolgens in een verder stadium kunnen gaatjes ontstaan.
Gezond tandvlees is roze van kleur en zit strak om de tanden en kiezen. Vaak zie je juist bij ontstoken tandvlees dat het gezwollen en rood van kleur is, daarnaast gaat het bij het poetsen bloeden. Het bloeden van het tandvlees geeft aan dat er nog steeds een ontsteking aanwezig is. Deze kun je niet anders tegengaan dan door goed en grondig te poetsen.
Het spreekt voor zich dat het noodzakelijk is bij het dragen van een beugel, dat je veel aandacht geeft aan het goed onderhouden van je gebit en beugel. Bij een beugel is het namelijk nog moeilijker om alle tandplaque te verwijderen. Dit vereist dus een grotere discipline en betekent dat je nog kritischer moet zijn op je mondhygiëne.
Bij het eerste consult wordt gekeken of je je gebit goed kan schoonhouden. Indien dit niet het geval is kan niet met de behandeling worden begonnen. Je krijgt dan de mogelijkheid om bij een volgend bezoek te laten zien dat je wel in staat bent om je gebit schoon te houden.
Tijdens de behandeling wordt het resultaat van de mondhygiëne door de orthodontist en de assistentes nagekeken. Indien nodig wordt de mondhygiëne bijgestuurd d.m.v. poetsinstructies. Naast een goede poetstechniek is het ook van belang dat het glazuur voldoende fluoride krijgt. Hiervoor krijg je gedurende de behandeling een spoelmiddel waarin fluoride is verwerkt.
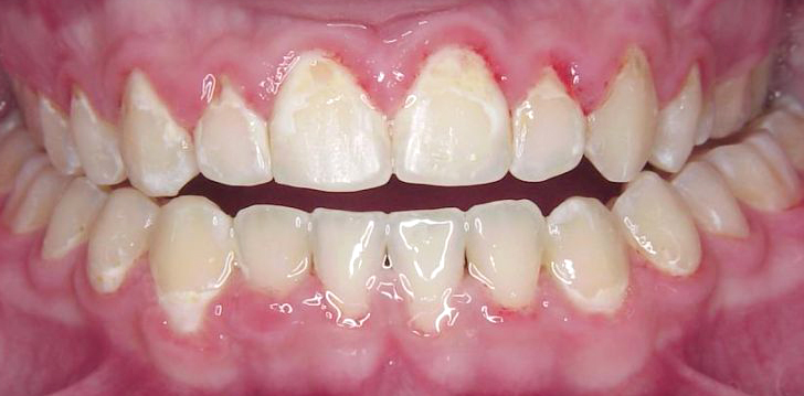
Bijgaande foto toont een mond waarin herhaaldelijk niet, of in ieder geval niet goed gepoetst is. Het tandvlees is rood, gezwollen en vertoont bloedingen. Het tandglazuur is ontkalkt en vertoont beginnende gaatjes.
