Na de behandeling
Nadat de tanden en kiezen zijn rechtgezet, is het belangrijk dat ze ook in die stand vast kunnen groeien. Dit noemen we de retentiefase. Dit is de periode waarin een nachtbeugel gedragen moet worden of dat we een spalkje of draadje achter de tanden plakken om de tanden in die stand vast te houden. Het kan ook beide; de uitneembare nachtbeugel wordt dan over het vastzittende draadje gedragen. Als je dit niet zou doen is de kans groot dat ze weer na bepaalde tijd scheef gaan staan. Je komt hiervoor nog enkele malen op controle.
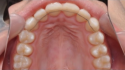
Vaak wordt er dan een dun draadje van roestvrij staal achter je tanden geplakt. Dit gebeurt zowel in de onderkaak als in de bovenkaak. Daarnaast wordt een doorzichtige nachtbeugel in de bovenkaak over het draadje gedragen. Dit is een Essix retainer.

Hier kan je de formulieren bekijken die wij in de praktijk gebruiken tijdens de nabehandeling, de retentiefase.
Op pagina één en twee is de procedure beschreven die wordt gevolgd na verwijdering van de vaste beugel. Pagina drie geeft informatie over het omgaan met de draadspalk. Daarnaast wordt het gebruik van de Essix retainer beschreven.